Research Article - Onkologia i Radioterapia ( 2020) Volume 14, Issue 5
The interest of virtual microscopy as a means of simulation learning in pathological anatomy and cytology
Dhouha Bacha1, Wael Ferjaoui2*, Lamia Charfi3, Salsabil Rejaibi4, Lassad Gharbi2, Sana ben Slama1, Leila Njim5 and Ahlem Lahmar12Department of General Surgery, Mongi Slim University Hospital, Tunisia
3Department of Pathology, Salah Azaiez Institute, El Manar University, Tunis, Tunisia
4Department of Preventive Medicine, National Institute of Health, Tunisia
5Department of Pathology, Fattouma Bourguiba University Hospital, Monastir, Tunisia
Wael Ferjaoui, Department of General Surgery, Mongi Slim University Hospital, Faculty of Medicine, Tunisia, Tel: 216 70 109 100, Email: farjaouiwael4@gmail.com
Received: 30-Sep-2020 Accepted: 10-Oct-2020 Published: 30-Oct-2020
Abstract
Introduction: The interest of Virtual Microscopy (VM) as a means of simulation learning in Pathological Anatomy and Cytology (PCA) is growing continuously. Its value for the acquisition of skills related to this discipline and the degree of satisfaction of learners have long been compared to those of the conventional method, using Optical Microscopy (OM). The results are conflicting, highlighting the limited use of VM in the daily practice of teaching PCA. The objective of our work was to compare the learning of general pathological anatomy by MV to that by MO, in terms of skills acquisition and levels of student satisfaction. Methods: Prospective study, involving 45 Students Of Second Cycle Of Medical Studies (SCMS), in pathological anatomy internship. Ten histological slides were analysed in OM for 21 students and in VM for 24 students, for a period of 10 days. The choice of the learning method was made by lot. The same trainer demonstrated the slides, each group separately, using either OM or VM. An assessment of the acquisition of knowledge was carried out using multiple choice questions on the same lesions but illustrated by 15 photos. An assessment of the degree of satisfaction of externs with the learning method used was based on a questionnaire using 6 items and the 4-choice Likert scale. Three items focused on convenience and three on Intrinsic Motivation (IM) of learners. The Mann Whitney nonparametric test for independent samples was thus used to compare the means between the two groups. Results: Regarding the acquisition of knowledge, the marks varied from 8 to 15, with a median of 13/15, for each of the 2 groups. There was no significant difference between the means obtained for each group (respectively 12.67 +/- 0.48 for the OM and 12.75 +/- 0.391 for the VM, p=0.935). Regarding the degree of satisfaction, a statistically significant difference was noted between the 2 groups for each of the 6 items tested. The overall convenience score was significantly better for the VM (p=0.001), whereas for the overall IM score there was no significant difference between the 2 groups (p=0.297). Conclusion: The performance of the VM is comparable to that of the OM. Taking into consideration its best convenience, VM could serve as an alternative tool to OM in teaching students' general pathological anatomy, although it does not fully satisfy their IM.
Keywords
learning, virtual pedagogy, optical microscopy, satisfaction
Introduction
Digital pathology (or virtual pathology) is an expanding technology in many fields, both in health sciences and in other disciplines [1]. Pathological Histology and Anatomy Cytology (PHCA) are two disciplines which occupy an essential place in the teaching during the 1st cycle of medical studies and which rely heavily on technology. For several decades, their learning has been based on the visualization of histological or cytological glass slides on optical microscopes. It was between 1985 and 1993 that the technology of acquiring virtual slides and creating digital edits were developed [2, 3]. Over time, the interest in Virtual Microscopy (VM) has increased due to the improvement of the computer tool and the diversity of its use. Several authors had reported their experiences using VM in preand postgraduate education, comparing them to OM. There are several advantages to this, but also disadvantages of both [4]. Our objective was to compare learning in general PCA by VM with that by OM, in terms of acquisition of skills and degrees of satisfaction of learners in the 1st year of the Second Cycle of Medical Studies (SCMS).
Materials and Methods
The study was prospective and observational, carried out on students doing an ACP internship at the Mongi Slim University Hospital Centre, La Marsa. The study interested SCMS students at the Faculty of Medicine of Tunis (FMT), on an ACP internship. These students were collected over a period of 4 consecutive semesters, starting from the 2nd semester of 2018. Regarding the learning method (VM or OM), a draw was made for each of the participants at the start of the course. The course of the study during the placements was comparable for all groups and all semesters. Each internship lasted 15 days (5 days per week for 3 weeks). During the first 2 days of the internship, the trainer introduced all the students to the objectives of the study. He led a training session on the use of the optical microscope and Virtual Blades (VB), before the draw for the choice of learning method. The microscopes used were of the Olympus type, model C × 21FS1. For the optical microscope, the trainer recalls the different constituents of a microscope (eyepieces, revolves, objectives, stage, adjustment screws, etc.), then shows the students how to look with the 2 eyes and how to adjust the focus, by being careful not to break the blades. For virtual blades, the trainer explains to the students how to choose the area to be examined by a simple click of the mouse (green circle). It also shows how to enlarge the field (or reduce it) with the mouse cursor or with the zoom gradient drawn on the photo (blue circle) (Figure 1).
Figure 1: Principles of virtual blades (VB) visualization: Miniature sample to locate the area to be examined (green circle) and the scale for the zoom gradient (blue circle)
At the end of this session, the trainer made sure that all students knew how to use a microscope and could visualize virtual blades.
The learning rate was 1 slide per day. The demonstration of the glass slides was done by a senior, under a multi-head microscope. Then, each student used the optical microscope on their own to anchor the knowledge they had just acquired. For Virtual Blades (VB), the same principle was applied. Questions were only allowed to be answered during the slide demonstration and not during the individual examination.
For the definition of virtual blades, all presentations that cannot be handled by a user are excluded. This concerns the images on power point, or the recorded videos.
We have chosen 10 slides relating to general PCA with diagnoses that meet the objectives of the student internship book.
The knowledge acquisition assessment was carried out in the same way for all students, during a 30-minute session. It consisted of recognizing the same basic lesions, but illustrated by 15 photos different from those used for training. Fifteen Multiple Choice Questions (MCQ) were administered to the students, at the rate of one MCQ per photo and adopting the law of all or nothing for the correction. The names of the students were mentioned on the answer sheets since the marks had been used for the validation of the internships of the students.
The assessment of the degree of satisfaction with the learning method used was based on a questionnaire using 6 items and the 4-choice Likert scale, ranging from “Strongly agree” to “Not at all okay'.
These items focused on the convenience of using the means tested and the Intrinsic Motivation (IM) of the learners. The answer sheets were anonymous. For the interpretation of the results, the notes "totally agree" and "rather agree" were considered as favourable responses, unlike the notes "rather disagree" and "completely disagree", considered as unfavourable responses. The bibliographic collection was carried out by querying the PubMed, Cochrane, Ovid and Hinariet databases using the following keywords: “digital microscopy”, “virtual pathology” and “digital pathology”. Information was entered and analysed by Statistical Package for the Social Sciences (SPSS) version 25. Proportions were presented with a 95% confidence interval (Figure 2).
Figure 2: Illustration of photos of slides focusing on inflammatory pathology, visualized in VM (A-C) and OM (D-F). A and D: Skin pustule; B and E: Fleshy bud; C and F: Appendicular oxyurosis
Continuous quantitative variables were shown by the mean and standard deviation, and qualitative variables by a percentage.
The distribution of the variables "score", "convenience" and "IM" did not follow a normal distribution, the Mann Whitney non parametric test for independent samples was thus used to compare the means between the two groups.
For the comparison of the degree of satisfaction of the externs for the learning method used, each of the 6 items relating to convenience and IM was rated from 1 to 4 according to the choices of the Likert scale, going from "all to agree ” (rated 1) to “totally disagree” (rated 4)
Twelve averages were thus obtained (2 averages for each item, one for the OM group and the other for that of the VM). For each item, each mean obtained for the OM was compared to that obtained for the VM, using Student's t-test (Figure 3).
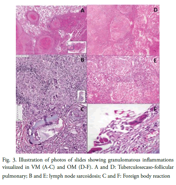
Figure 3: Illustration of photos of slides showing granulomatous inflammations visualized in VM (A-C) and OM (D-F). A and D: Tuberculosecaso-follicular pulmonary; B and E: lymph node sarcoidosis; C and F: Foreign body reaction
In addition, an overall score for convenience and another for IM were calculated. These scores were compared using Student's t-test.
Results
Forty-five students participated in the study which started in the 2nd semester of 2018 and lasted 4 consecutive semesters (Figure 4).
Figure 4: Distribution of marks obtained by students according to the learning group, respectively OM and VM
For each group, a draw was made for the choice of the learning method. In total, 21 students had chosen the OM and 24 students the VM. Ten general PCA slides were studied, under the light microscope for 21 students and on the computer screen for 24 students. Six slides concerned inflammatory pathology, 3 slides overload pathology and one slide tumour pathology. The students' grades were obtained after a test involving 15 photos and by adopting the law of all or nothing for the correction. For the OM group, the marks were between 8 and 15 with an average of 12.67 +/- 0.480 and a median equal to 13. Three students had a mark <10 and 6 students had obtained the full mark. For the VM group, the marks were also between 8 and 15 with an average of 12.75 +/- 0.391 and a median equal to 13. Two students had a mark <10 and 4 students had obtained the full mark.
There is no significant difference between the means assigned to the OM group and those assigned to the VM group (p=0.935). The distribution of students according to their response to the convenience questionnaire is shown in (Table 1).
| Totally agree | Somewhat agree | Not somewhat agree | Not agree at all | |||||
| OM | VM | OM | VM | OM | VM | OM | VM | |
| Item 1: Navigating through the blade seemed difficult to me | 16 | 0 | 3 | 0 | 0 | 2 | 2 | 22 |
| Item 2: I was stressed about not knowing how to handle the microscope | 11 | 1 | 6 | 1 | 4 | 4 | 0 | 18 |
| Item 3: I found the time dedicated to the demonstration of each slide by the trainer to be long | 11 | 1 | 8 | 1 | 2 | 4 | 0 | 18 |
Tab. 1. Number of students according to their answers to the convenience questionnaire
Note that the higher the average is, the better the convenience for the learning method is. According to this table, there is a significant difference between the 2 methods (OM and VM) for each of the items relating to convenience. The distribution of students according to their response to the IM questionnaire is shown in (Table 2).
| Convenience Items | Learning methods | Average | p |
| Item 4 | OM | 1,43+/0,926 | 0,001 |
| VM | 3,92+/- 0,282 | ||
| Item 5 | OM | 1,67+/- 0,796 | 0,001 |
| VM | 3,63 +/- 0,77 | ||
| Item 6 | OM VM | 1,57+/-0,676 3.46 +/- 0,932 | 0,001 |
Tab. 2. The means obtained for each item of convenience according to the method used
For the first item and the second item, the higher the average is, the better the MI for the learning method is. On the other hand, for the 3rd item, the opposite is valid. For the 16 students who had consulted other virtual blades than those dedicated to learning, the resources were on the site of the virtual histological slides of Michigan (Michigan slide box). For the 10 students who viewed glass slides, the slides were provided from the routine practice trays, not always of interest to the general PCA. According to Table 3, there is a significant difference between the 2 methods (OM and VM) for each of the items relating to IM, in favour of the VM (Table 4).
| Totally agree | Somewhat agree | Not somewhat agree | Not agree at all | |||||
| OM | VM | OM | VM | OM | VM | OM | VM | |
| Item 4: I have consulted other resources to properly integrate the concepts learned | 2 | 16 | 2 | 1 | 1 | 1 | 16 | 6 |
| Item 5: I looked at other blades, apart from those in my learning goals | 5 | 16 | 5 | 0 | 0 | 0 | 14 | 8 |
| Item 6: I was waiting for the end of the internship, I am not made for the PCA | 13 | 2 | 6 | 1 | 1 | 5 | 1 | 16 |
Tab. 3. Number of students according to their answers to the IM questionnaire
| Items of IM | Learning methods | Average | p |
| Item 4 | OM | 3.48 +/- 1.03 | 0,001 |
| VM | 1.88 +/- 1.329 | ||
Item 5 |
OM |
3.10 +/- 1.338 | 0,012 |
| VM | 2.00 +/- 1.445 | ||
| Item 6 | OM VM |
1.52 +/- 0,814 3.46 +/- 0,932 |
0,001 |
Tab. 4. The means obtained for each item of the IM according to the learning method
By calculating an overall score with the means obtained for convenience and for the IM, we found a statistically significant difference for the convenience score, with a higher score for the VM (p=0.001), while the difference was no significant for the IM score (p=0.297) (Table 5).
| Score global | Learning methods | Average | p |
| Commodité | OM | 4,67 +/- 2,008 | 0,001 |
| VM | 11,17 +/- 1,523 | ||
| IM | OM | 8,10+/- 2,143 | 0,297 |
| VM | 7,33 +/- 2,632 |
Tab. 5. The means obtained for each item of the IM according to the learning method
Discussion
The basic technical principles of VM generally require 4 preanalytical steps. These steps are: image acquisition (digitization) by the scanner, storage, editing and display of images [5]. The scanner includes a motorized microscope combined with a digital camera that converts the light wave into an electric current. The objectives used are x20 or x40, rarely x63. Often a single x20 objective is combined with multiplication software to develop scanned x40 slides. The acquisition of small-sized JPEG images is continuous under software control of the computer whose scanner is a peripheral. The images are combined into a file which, when opened by suitable software, produces a dematerialized slide on the screen that can be moved, enlarged or reduced, and annotated. The visual impression felt is close to that obtained under a microscope [6, 7]. The glass slides are introduced into the scanner, preferably in batches in baskets. The scanning time is short, from 30 s to 5 mn, depending on the surface of the slide and the magnification used. The files obtained can be exported, copied, archived and usable, visible using suitable software, browser or viewer [8].
The pathologist is the only one qualified to assess the impact of the pre analytical variables on the data generated because of his knowledge of all aspects of this process. Consequently, he will have to acquire a minimum of competence and certain pathologists will become referents in the field. Qualified structures will have to consider recruiting “engineer level” collaborators whose role will be to ensure the quality of digitization, to manage breakdowns and to ensure the monitoring of workstation and machine adjustment 6. Over time, the quality of virtual blades has continued to improve thanks to regular innovations in the fields of acquisition and visualization systems. Quality control remains an essential prerequisite for the large-scale use of virtual blades [9].
VM has become an alternative tool for learning histology and PCA, combining or even replacing OM in several university structures. The Nordic countries and Canada have been pioneers in using this technology for remote PCA diagnosis (tele pathology, telemedicine), whether it is a case of extemporaneous examination, second opinion, or more recently for routine diagnosis. In 2007, 33% of American universities were already using this tool [10]. While some studies have advocated the elimination of OM learning, others prefer to keep both methods [11-13]. Indeed, OM has long been proven to be an effective tool in clinical practice and the training of students and residents and its removal from training programs can be difficult. In addition, there are legitimate reasons to maintain at least one place for OM in the training curriculum and some authors have argued for a hybrid approach using both OM and VM to benefit from the advantages of each method. The integration of the biomedical sciences with the clinical sciences, the reduction in teaching hours of basic sciences such as histology and the increase in the number of students have fostered the transition from OM to VM. Despite this trend towards adopting VM in education with successful OM-VM transitions, there remains an ongoing debate about the superiority of VM over OM [13- 15]. Indeed, limitations of the VM have been reported, the main ones being related to the high cost of the slide scanner. In addition, Campbell et al had demonstrated that 13% of virtual blades would have to be scanned again at least once, due to image blur, insufficient magnification or better choice of an area of focus interest. This would further increase the costs of using digital pathology [16]. Simok et al. disagreed as they found VM to be more economical in the long run. OM requires technical maintenance, which is expensive in the long run terms [17]. In addition, the VM can be shared between multiple teams, reducing user costs.
The VM is also a time-consuming tool, since there is a first step in selecting which slides are going to be scanned. These slides must be representative, informative and with impeccable technique in terms of cutting and staining.
Assessment is essential in any learning activity and it is important to qualify and quantify what we do. From point of view acquisition of knowledge, and contrary to our results, the meta-analysis by Wilson et al, having gathered 12 studies reporting the performance of students and their preferences between OM and VM, had shown that the pedagogical approach of VM was better than that of the OM 5.
In our series, the first item in the Convenience Rating was to assess the difficulty in handling an optical microscope with its components, or a mouse and computer for VM. We noted a significant difference between the 2 groups, objectifying difficulties in the use of the optical microscope and ease of navigation for VM (p=0.001). These results are consistent with several series of the literature, including that of Simok et al. where students found using an optical microscope difficult and tedious 17. For VM, many learners found the slide scan to be faster and less stressful on the eyes compared to a conventional microscope 11. This could be explained by the fact that students are much more familiar with using a computer than a microscope. In addition, new mouse-less computing options (trackballs, touch screens, and keyboard options) can reduce the risk of repeated computing tool use. The posture when looking at Virtual Blades (VB) was found to be more comfortable than that in front of a light microscope 14. Item 2 in our series was concerned with the feeling of stress and anxiety the student might experience while seeking to properly manipulate the light microscope or Vb. Students were less stressed and more comfortable with VM and the difference was significant (p=0.001). These results are discordant with those of Simok et al. who had shown the absence of difference between the 2 groups of students with regard to the stress generated by the tool used in learning histology (p=0.511 ) [17]. Students may not feel stressed if they already have a prerequisite of the different parts of the microscope and how to use it, before they start looking at the slides. Even without the prerequisites, the students had attended an initial training session at the start of the internship for both the OM and the VM. Indeed, VM increases the collaborative spirit within the same team, between different medical teams of the same specialty or different specialties.
Item 3 focused on the time dedicated to the demonstration of each slide by the trainer, considered long for the OM with a statistically significant difference compared to the VM (p=0.001).
On virtual blades, the trainer magnifies and shrinks fields easily with the ability to examine slides at intermediate magnifications rather than being limited by microscope-mounted objectives.
The convenience of using virtual blades also depends on the type of sample. In our series, we used slides with the same staining and interesting tissue samples. No slide showed cytology. Indeed, cytology is more difficult to analyse on LV since the scanning of the slide must be methodical, without abrupt change in magnification and often uses x20 and x40 magnification. We found that the students could not provide as much concentration for the fine analysis of cytology.
Taking into account the first 3 items, the overall convenience score was significantly better for the MV (p=0.001).
The convenience of using VM, the interactivity between students and the trainer, increases student IM for learning PCA.
In our series, we evaluated IM by 3 items, involving the use of other resources and other slides for items 5 and 6 and the assessment of PCA as a whole in item 6. For these 3 items, the difference in appreciation was significant between the 2 groups (respectively p=0.001, 0.012 and 0.001). On the other hand, for the overall IM score, no significant difference was noted between the 2 groups (p=0.297). This result is consistent with that of the study by Simok et al. who showed that the use of OM failed to fully stimulate student IM 17. IM encourages students to look for other resources for slides studied in practicum and to look at other slides outside of their goals and study. Indeed, as mentioned above, the resources were mainly via the internet and much less on the PCA books. And here comes the role of the trainer who must guide the students in their choice of additional resources, so that they are adapted to the level of the students. For the glass slides, the 10 students who agreed to use other slides, outside of the apprenticeship ones, chose the cases from the routine practice trays. They asked questions and the trainer took care to answer them. For this item, the difference was significant between the 2 groups (p=0.012). The quality and clarity of the slides could intervene to encourage students to look at others. Indeed, some learners found that the virtual blades were clearer, due in part to a prior adjustment of brightness and contrast [11, 14, 15]. In addition, these slides do not fade over time like glass slides. In our series, we estimate that the quality of the slides was better in VM for the granulomatous lesions due to the quality of the contrast, while it was comparable for the other lesions. In the study by Ordi et al. autonomy in the use of virtual blades was the criterion best appreciated by pre-graduate students (93.3%) [15]. This autonomy, which allows students to self-learn, allows them to work at home by adapting to their pace of learning. Confirming this finding, access to Vb was during vacation in 57.5% of cases and after 6 p.m. in 41.9% of cases. In addition, the scanned slides can be viewed on desktops, laptops, tablets, and even smartphones at a range of magnifications, further arguing for the convenience of using VM.
The value of VM in education can take the form of continuing education for postgraduate doctors who are often located away from a university centre [10]. The European Pathology Society and the United States and Canadian Academy of Pathology (USCAP) are using VM technology to release histo-seminar slides ahead of conference dates. The ability to scan large quantities of slides and upload them quite easily also facilitates this practice.
The item 6 reflects the future vision of the students, in close relation with their IM to follow the path of the PCA for their future career. Nineteen students (90.4%) of the OM group waited for the end of the internship and did not show any desire to specialize in PCA, compared to 3 students (12.5%) of the VM group. The difference was significant between the 2 groups (p=0.001). Regarding the choice of specialty, the students are still in SCMS, having not yet discovered the other specialties to be able to choose.
In the literature, several authors have reported their experiences using VM in pre- and postgraduate PCA education, comparing them to OM. Several advantages emerge, but also disadvantages of both methods, taking into account several aspects [1, 4, 7]. The financial cost was one of the main aspects discussed by several authors. As mentioned above, the cost of the equipment required for VM limits its use by many university structures such as the FMT. Regarding the premises, scanners are often not very bulky and it is not essential to review the circuits or the design of the premises especially for the installation of digital pathology.
The cost in terms of time has also been discussed by several studies. The use of Vb would save time for students, technicians and pathologists. For students, Vb make it possible to reduce the hours of face-to-face lessons for teaching histology, without compromising the quality of the study [18]. For technicians, Vb makes it possible to reduce the time dedicated to cutting blades for teaching or evaluating a large group of students during practical sessions for example. It is possible that by dint of cutting levels of the paraffin block, the samples will become depleted, especially the small micro-biopsies. At this point, the VM allows multiple copies to be obtained, simply, by sharing the Vb and without the risk of depleting the tissue material that is valuable to the patient. Thus, technicians will no longer need to archive glass slides with the risk of breaking them or of misclassifying them. VM solves this archiving problem, provided the storage capacity is large, which is possible with new generations of VM. It also makes it easier to retrieve old slides, which can be viewed by multiple users from different locations. Regarding VM as a means of evaluating learning, the "American Board of Pathology" has been using it for several years in the practical test of the evaluation of the skills of candidates [19].
In our series, the evaluation of knowledge acquisition was based on the analysis of still photos for the 2 groups, while the training used several moving images. It was a way of adapting to the 2 learning methods. We will not be able to be sure of the reliability of this evaluation without having recourse to another comparative study of the different means of evaluation, which could do the subject of another study. On the other hand, it is not mandatory to assess students in the same way they learned. Indeed, according to Solberg BL et al. students who had learned to identify tissues with Vb were able to transfer this skill directly to glass slides. They could thus be evaluated on slides observed under an optical microscope. Moreover, these students obtained better results compared to those who learned tissue recognition on OM, immediately after learning and at a distance from it [20]. In our series and in the majority of studies in the literature, the evaluation focused on the appreciation of the students.
In view of the results of our study and those of the literature, the field of VM is in a position to become the new challenge for pathologists with a generalization of its use as well in teaching, evaluation, clinical practice and the research.
Limitations
Our study had certain limitations: The low number of students (n=45) and students had other academic activities on the same days of the study course, which would decrease the concentration of students who may find themselves limited by time. Indeed, our study was the first to compare VM versus OM with FMT. Therefore, it cannot be compared to other studies within the faculty.
Conclusion
The term Virtual Microscopy (VM) (also called digital or digital pathology) is a simulation method that encompasses the scanning of histological slides and their visualization via specialized computer software with a resolution similar to that of conventional (optical) microscopy. The majority of the studies reported attest to the superiority of VM over OM in the acquisition of knowledge. Indeed, the VM is easy to use and efficient, friendly with a collaborative spirit between the students themselves and with the trainer. The autonomy in time and space of using VM was widely appreciated by the students. This convenience makes students comfortable and free from the stress of not knowing how to handle VM. The advantages of VM and the difficulties of OM have created a pressing need for reform of histology and PCA learning to pre-graduate learners. This justifies the transition from OM to VM made by several university structures, gradually or sometimes quickly and completely. The generalization of this learning method will allow us to conduct a larger sample study, comparing VM to OM in pre- and postgraduate education and in clinical practice of PCA.
References
- Aeffner F, Adissu HA, Boyle MC, Robert D. Digital microscopy, image analysis, and virtual slide repository. ILAR J. 2019;59:66-79.
- Silage DA, Gil J. Digital image tiles: a method for the processing of large sections. J Microsc. 1985;138:221-227.
- Westerkamp D, Gahm T. Non-distorted assemblage of the digital images of adjacent fields in histological sections. Anal Cell Pathol. 1993;5:235-247.
- Simms MH, Mendis-Handagama C, Moore RN. Virtual microscopy in a veterinary curriculum. J Vet Med Educ. 2007;34:416-422.
- Wilson AB, Taylor MA, Klein BA, Sugrue MK, Whipple EC, et al. Meta-analysis and review of learner performance and preference: virtual versus optical microscopy. Med Educ. 2016;50:428-440.
- Calvo J, Brochériou I, Capron F. Bulletin of the international academy of pathology, digital pathology: from research to routine. 2018.
- Bertram CA, Klopfleisch R. The pathologist 2.0: An update on digital pathology in veterinary medicine. Vet Pathol. 2017;54:756-766.
- Indu M, Rathy R, Binu MP. “Slide less pathology”: Fairy tale or reality? J Oral Maxillofac Pathol. 2016;20:284-288.
- Ameisen D. What is a digital image? Bulletin of the international academy of pathology n° 57 June 2013.
- Vergier B, Guettier C. The use of virtual slide for pedagogy. Med Sci. 2012;28:986-989.
- Farah CS, Maybury T. Implementing digital technology to enhance student learning of pathology. Eur J Dent Educ. 2009;13:172-178.
- Becker JH. Virtual microscopes in pediatric medical education. J Am Podiatr Med Assoc. 2006;96 :518-524.
- Blake CA, Lavoie HA, Millette CF. Teaching medical histology at the university of south carolina school of medicine: transition to virtual slides and virtual microscope. Anat Rec B New Anat. 2003;275:196-206.
- Krippendorf BB, Lough J. Complete and rapid switch from light microscopy to virtual microscopy for teaching medical histology. Anat Rec B New Anat. 2005;285:19-25.
- Ordi O, Bombí JA, Martínez A, Ramírez J, Alòs L, et al. Virtual microscopy in the undergraduate teaching of pathology. J Pathol Inform. 2015;6:1.
- Campbell WS, Lele SM, West W, Lazenby AL, Smith LM. Concordance between whole-slide imaging and light microscopy for routine surgical pathology. Hum Pathol. 2012;43:1739-1744.
- Mione S, Valcke M, Cornelissen M. Evaluation of virtual microscopy in medical histology teaching. Anat Sci Educ. 2013;6:307-315.
- Triola MM, Holloway WJ. Enhanced virtual microscopy for collaborative education. BMC Med Educ. 2011;11:4.
- Harnden P, Coleman D, Moss S, Kodikara S, Griffin NR, et al. Evaluation of the use of digital images for a national prostate core external quality assurance scheme. Histopathol. 2011;59:703-709.
- Solberg BL. Digital and traditional slides for teaching cellular morphology: a comparative analysis of learning outcomes. Clin Lab Sci. 2012;25:4-12.

